ĐÁNH GIÁ KHẢ NĂNG PHÁT HIỆN Neisseria meningitidis BẰNG PHƯƠNG PHÁP KHUẾCH ĐẠI ĐẲNG NHIỆT (LAMP)
Viện Y sinh nhiệt đới, Trung tâm Nhiệt đới Việt-Nga
Số 63 Nguyễn Văn Huyên, Nghĩa Đô, Cầu Giấy, Hà Nội
Số điện thoại: 0982201991; Email: cuongvrtc@gmail.com
Nội dung chính của bài viết
Tóm tắt (Abstract)
Bệnh nhiễm trùng do não mô cầu là một bệnh truyền nhiễm cấp tính do N. meningitidis gây ra, bệnh khó phát hiện trong giai đoạn sớm do có triệu chứng tương tự một số bệnh truyền nhiễm khác. PCR được xem là tiêu chuẩn vàng để chẩn đoán não mô cầu do có độ nhạy, độ đặc hiệu cao hơn so với phương pháp nuôi cấy. Nghiên cứu này chúng tôi đánh giá khả năng phát hiện N. meningitidis bằng phương pháp LAMP dựa trên trình tự gen ctrA. Kết quả cho thấy trên panel chủng chuẩn N. meningitidis nhóm huyết thanh A, B, C phương pháp LAMP có độ nhạy 100%, giới hạn phát hiện 100 CFU/ml. LAMP không phản ứng chéo với ADN các chủng vi khuẩn H. influenzae, S. pneumoniae, N. lactamica, S. aureus, M. tuberculosis. Kết quả thử nghiệm phát hiện N. meningitidis trên 155 mẫu dịch não tủy, mẫu máu và chủng N. meningitidis phân lập cho thấy bộ kit LAMP có độ nhạy, độ đặc hiệu 96,7% và 100% so với phương pháp realtime PCR. Hệ số kappa κ = 0.97 cho thấy hai phương pháp gần như tương đồng hoàn toàn. Kết quả thu được mở ra triển vọng sử dụng bộ kit LAMP dùng trong chẩn đoán, sàng lọc nhiễm não mô cầu ở tuyến y tế cơ sở.
Abstract
Neisseria meningitidis is the bacterium responsible for meningococcal infections. Meningococcal disease can be difficult to diagnose in the early states because the signs and symptoms are often similar to other illnesses. Polymerase chain reaction (PCR)-based diagnostic methods of detecting N. meningitidis have been considered the gold standard due to their superior sensitivity and specificity compared to culture methods. In this study, we evaluated the ability to detect N. meningitidis by loop-mediated isothermal amplification (LAMP) method that targets the ctrA gene. The results demonstrate a specific LAMP assay for N. meningitidis serogroups A, B, and C, with 102 CFU/ml as LOD, 100% sensitivity. No cross-reactivity was observed with H. influenzae, S. pneumoniae, N. lactamica, S. aureus or M. tuberculosis. When applied to 155 clinical specimens and isolated N. meningitidis strains the LAMP assay in comparison to aconventional TaqMan® based real-time PCR, the sensitivity and specificity of the N. meningitidis LAMP assay were 96.7% and 100% respectively. The two methods showed a very high level of agreement, with a κ coefficient of 0.97. The LAMP method demonstrated rapid, sensitive, and highly specific performance in the detection of N. meningitidis, and holds potential for application in resource-limited settings.
Từ khóa (Keywords)
Gen ctrA, LAMP, nhóm huyết thanh, PCR, viêm màng não mô cầu, Meningococcal meningitis, serogroups
Chi tiết bài viết
- Điểm nổi bật:
Đánh giá, xác định được độ nhạy 100%, độ đặc hiệu 100%, giới hạn phát hiện N. meningitidis 100 CFU/ml bằng phương pháp LAMP sử dụng bộ mồi do nhóm nghiên cứu thiết kế.
Thử nghiệm khả năng phát hiện N. meningitidis trên 155 mẫu dịch não tủy, mẫu máu và chủng N. meningitidis phân lập cho thấy bộ kit LAMP có độ nhạy, độ đặc hiệu 96,7% và 100% so với phương pháp realtime PCR. Hệ số kappa κ = 0.97.
1. ĐẶT VẤN ĐỀ
Bệnh nhiễm não mô cầu (NMC) là một bệnh truyền nhiễm cấp tính, gây dịch được lây truyền qua đường hô hấp do nhiễm loại song cầu Neisseria meningitidis. Vi khuẩn cư trú tại vùng hầu họng của người và lây theo các giọt nước nhỏ bài tiết qua đường hô hấp. Bệnh nhiễm NMC có các thể lâm sàng: viêm màng não mủ, nhiễm khuẩn huyết, sốc nhiễm khuẩn, viêm khớp, viêm màng ngoài tim ... trong đó viêm màng não mủ và nhiễm khuẩn huyết là thường gặp hơn [1]. Vi khuẩn xâm nhập vào cơ thể người qua đường mũi họng, từ đó lan tỏa vào máu gây nhiễm trùng máu hoặc qua đường máu đến màng não gây viêm màng não mủ hoặc gây viêm màng não mủ kèm theo nhiễm trùng huyết. Bệnh tiến triển nhanh và thường để lại di chứng nặng nề như chậm phát triển tinh thần, điếc, liệt với tỷ lệ từ 10-20%, tỷ lệ tử vong từ 8 đến 15%. Bệnh rất khó phát hiện trong giai đoạn sớm vì triệu chứng giống với các bệnh viêm màng não do nhiễm siêu vi thông thường [2]. NMC có nhiều nhóm huyết thanh khác nhau, đại đa số ca bệnh bệnh não mô cầu là do các nhóm huyết thanh A, B, C, Y và W135 gây nên. Sự phân bố các nhóm huyết thanh gây ra bệnh thay đổi theo thời gian và giữa các vùng địa lý khác nhau [3].
Ở nước ta, NMC có khả năng gây các vụ dịch nhỏ và ca bệnh rải rác khắp tỉnh thành trên cả nước, chủ yếu do nhóm huyết thanh B gây nên. Nghiên cứu đặc điểm lâm sàng, cận lâm sàng bệnh do NMC xâm nhập tại các đơn vị Quân đội từ 2014 đến 2021 đã xác định 69 quân nhân mắc nhiễm khuẩn huyết/viêm màng não do NMC theo tiêu chuẩn xác định ca bệnh của Bộ Y tế. Ca bệnh được ghi nhận, chủ yếu là chiến sĩ tuổi quân dưới 1 năm (74,6%), tỷ lệ tử vong 8,69% [4]. Chẩn đoán nhanh, chính xác được bệnh do N. meningitidis nâng cao hiệu quả điều trị. Phương pháp truyền thống được áp dụng cho chẩn đoán NMC là phân lập vi khuẩn từ dịch não tủy. Phương pháp này yêu cầu trang bị tủ nuôi cấy CO2 và môi trường nuôi cấy chọn lọc, thời gian cho kết quả dài và đặc biệt thường cho kết quả âm tính sau khi bệnh nhân đã sử dụng kháng sinh đặc trị. Xét nghiệm NMC bằng kỹ thuật sinh học phân tử gồm PCR, PCR đa mồi hoặc realtime PCR có độ nhạy và độ đặc hiệu cao được xem là tiêu chuẩn vàng chẩn đoán NMC. Tuy nhiên, phương pháp PCR này chỉ được áp dụng tại các phòng thí nghiệm sinh học hay các bệnh viện lớn, khó áp dụng được với các đơn vị y tế cơ sở và quân y tuyến đơn vị.
Hiện nay các nhà khoa học trên thế giới đã nghiên cứu ứng dụng phương pháp LAMP phát hiện N. meningitidis, LAMP là kỹ thuật khuếch đại ADN đơn giản và đặc hiệu hơn PCR truyền thống. Ưu điểm của phương pháp này là thao tác thực hiện dễ dàng, trang thiết bị đơn giản, kết quả có độ nhạy lên tới 100%, độ đặc hiệu trên 99%, thời gian đọc kết quả nhanh dưới 1 giờ. Nghiên cứu này trình bày kết quả đánh giá độ nhạy, độ đặc hiệu phát hiện N. meningitidis của phương pháp LAMP sử dụng bộ mồi đặc hiệu dựa trên trình tự gen ctrA.
2. ĐỐI TƯỢNG VÀ PHƯƠNG PHÁP NGHIÊN CỨU
2.1. Chủng vi sinh vật và mẫu bệnh phẩm
- Các chủng N. meningitidis ATCC 13077 (nhóm huyết thanh A), ATCC 13090 (nhóm huyết thanh B), ATCC 13102 (nhóm huyết thanh C). Chủng vi khuẩn Haemophilus influenzae type b ATCC 10211, Streptococcus pneumoniae ATCC 49619, Neisseria lactamica ATCC 23970, S. aureus ATCC 29213, mẫu ADN vi khuẩn lao Mycobacteria tuberculosis do Viện Y sinh nhiệt đới, Trung tâm Nhiệt đới Việt - Nga cung cấp.
- 25 chủng N. meningitidis nhóm huyết thanh B phân lập ca bệnh giai đoạn 2019 - 2024 do Viện Y sinh nhiệt đới, Trung tâm Nhiệt đới Việt - Nga cung cấp.
- 48 mẫu bệnh phẩm dịch não tủy bệnh nhân viêm màng não, 82 mẫu máu bệnh nhân nhiễm khuẩn huyết thu thập tại Bệnh viện Đa khoa tỉnh Lạng Sơn, Bệnh viện Đa khoa tỉnh Bắc Giang và Trung tâm Bệnh nhiệt đới, Bệnh viện Hữu nghị Đa khoa tỉnh Nghệ An từ tháng 12/2024 đến tháng 01/2025.
2.2. Hóa chất
Bộ mồi LAMP được thiết kế dựa trên trình tự gen ctrA trên Genbank (mã số AF315851.1) và tổng hợp bởi Công ty Phù Sa (Việt Nam) trình bày tại bảng 1.
Bảng 1. Trình tự và thông số bộ mồi LAMP đặc hiệu N. meningitidis

- Kit tách chiết ADN (BS88505, Bio Basic, Canada), Enzym Bst DNA polymerase, đệm phản ứng LAMP 10X (NEB, Anh). Môi trường Mueller Hinton (Himedia, Ấn Độ)…
- Quy trình thường quy phát hiện N. meningitidis bằng Real time – PCR theo khuyến cáo của Tổ chức Y tế thế giới gồm: bộ mồi, probe (Biosearch, Mỹ), Luminaris Probe Hight ROX Qpcr Master Mĩ (Thermo Scientific, Mỹ) [5].
2.3. Phương pháp nghiên cứu
2.3.1. Xác định giới hạn phát hiện và độ nhạy phương pháp LAMP
Các chủng vi khuẩn N. meningitidis nhóm A, B, C được nuôi cấy trên môi trường thạch máu Mueller Hinton trong thời gian 24h ở nhiệt độ 37°C, CO2 5%, hòa tan khuẩn lạc trong dung dịch nước muối 0,45% với nồng độ ban đầu xấp xỉ 108 CFU/ml (sử dụng phương pháp đo độ đục McFarland 0,5) [5]. Pha loãng mẫu 10 lần để tạo dải nồng độ vi khuẩn tương ứng giảm dần: 107, 106, 105, 104, 103, 102, 101 (CFU/ml). ADN vi khuẩn được tách chiết bằng bộ kit tách chiết ADN (BS88505, Bio Basic, Canada) theo quy trình của nhà sản xuất.
Giới hạn phát hiện được thực hiện trên 6 mẫu ADN thể tích 100 µl tách chiết từ 200 µl dịch huyền phù vi khuẩn N. meningitidis nhóm huyết thanh A, B, C nồng độ 106, 105, 104, 103, 102, 101 (CFU/ml). Thành phần phản ứng LAMP: Nồng độ mồi FIP/BIP: 1,5 µM, nồng độ mồi F-Loop/B-Loop: 0,8 µM, nồng độ mồi F3/B3: 0,1 µM, 4 mM MgSO4 4mM, 1 mM dNTPs, 1,2 M betaine, 4 U Bst DNA polymerase, 2 µl mẫu ADN. Phản ứng LAMP được thực hiện với tổng thể tích 25 µl ở 65°C trong 60 phút trên thiết bị ổn nhiệt, thí nghiệm đặc lặp lại 03 lần Sản phẩm phản ứng LAMP được kiểm tra bằng điện di trên gel agarose 2% và quan sát dưới ánh sáng UV. Giới hạn phát hiện là nồng độ ADN (CFU/ml) thấp nhất cho kết quả dương tính với phản ứng LAMP.
Độ nhạy được thực hiện trên 27 mẫu ADN thể tích 100 µl tách chiết từ 200 µl dịch huyền phù vi khuẩn N. meningitidis thuộc các nhóm huyết thanh A, B, C nồng độ 105, 104, 103 (CFU/ml). Mỗi nhóm huyết thanh ở một nồng độ có ba mẫu.
Độ nhạy của phương pháp LAMP phát hiện N. meningitidis được tính như sau:

Trong đó: Se là độ nhạy, %
TP là số mẫu phát hiện dương tính thật bằng phương pháp, mẫu
FN là số mẫu phát hiện âm tính giả bằng phương pháp, mẫu
2.3.2. Đánh giá độ đặc hiệu của phương pháp LAMP
Tiến hành phản ứng LAMP với 15 mẫu ADN tách chiết từ 5 chủng vi khuẩn H. influenzae type b, S. pneumoniae, N. lactamica, S. aureus, M. tuberculosis. Thí nghiệm được tiến hành với 3 lần lặp lại.
Độ đặc hiệu của phương pháp LAMP được tính như sau:

Trong đó: Sp là độ đặc hiệu, %
TN là số mẫu phát hiện âm tính thật bằng phương pháp, mẫu
FP là số mẫu phát hiện dương tính giả bằng phương pháp, mẫu
2.3.3. So sánh khả năng phát hiện N. meningitidis bằng LAMP và phương pháp realtime PCR
Sử dụng quy trình thường quy phát hiện N. meningitidis bằng Real time – PCR theo khuyến cáo của Tổ chức Y tế thế giới làm phương pháp chuẩn để so sánh với phương pháp LAMP về khả năng phát hiện N. meningitidis trên 155 mẫu nghiên cứu, gồm: 48 mẫu dịch não tủy bệnh nhân chẩn đoán viêm màng não, 82 mẫu máu bệnh nhân nhiễm khuẩn huyết, 25 chủng phân lập, thí nghiệm được lặp lại 02 lần. Phương pháp realtime PCR phát hiện N. meningitidis thực hiện theo khuyến cáo của Tổ chức y tế Thế giới (2011) [5]. Hệ số Kappa được sử dụng để đánh giá mức độ tương đồng giữa phương pháp LAMP và phương pháp realtime PCR.
Độ nhạy của phương pháp LAMP phát hiện N. meningitidis so với phương pháp realtime PCR được tính như sau:

Trong đó: Se, Sp là độ nhạy và độ đặc hiệu; TP là số mẫu phát hiện dương tính bằng phương pháp LAMP trong số các mẫu dương tính phát hiện bằng phương pháp realtime PCR, FN là số mẫu phát hiện âm tính bằng phương pháp LAMP trong số các mẫu dương tính phát hiện bằng phương pháp realtime PCR. TN là số mẫu phát hiện âm tính bằng phương pháp LAMP trong số các mẫu âm tính phát hiện bằng phương pháp realtime PCR, FP là số mẫu phát hiện dương tính bằng phương pháp LAMP trong số các mẫu âm tính phát hiện bằng phương pháp realtime PCR.
Bảng 2. Bảng số liệu tính toán hệ số kappa
| Realtime PCR |
|
| Kappa | Độ tương đồng | ||
Kỹ thuật LAMP | Mức độ | (+) | (-) | Tổng | < 0 | Không tương đồng | |
(+) | P11 | P21 | P10 | 0,0 – 0,20 | Rất ít tương đồng | ||
(-) | P12 | P22 | P20 | 0,21 – 0,40 | Ít tương đồng | ||
Tổng | P01 | P02 |
| 0,41 – 0,60 | Tương đồng trung bình | ||
| 0,61 – 0,80 | Khá tương đồng | |||||
0,81 – 1,00 | Gần như tương đồng hoàn toàn | ||||||
Po: Phần trăm tương đồng thực tế;

Pe: Phần trăm tương đồng mong đợi

Công thức tính hệ số kappa [6]

2.3.4. Vấn đề đạo đức trong nghiên cứu y sinh học
Nghiên cứu được chấp thuận của Hội đồng đạo đức trong nghiên cứu y sinh học Trung tâm Nhiệt đới Việt - Nga tại văn bản số 1047/CN-HĐĐĐ ngày 04/5/2019, văn bản số 2859/CN-HĐĐĐ ngày 02/8/2023.
3. KẾT QUẢ
3.1. Đánh giá giới hạn phát hiện và độ nhạy của phản ứng LAMP
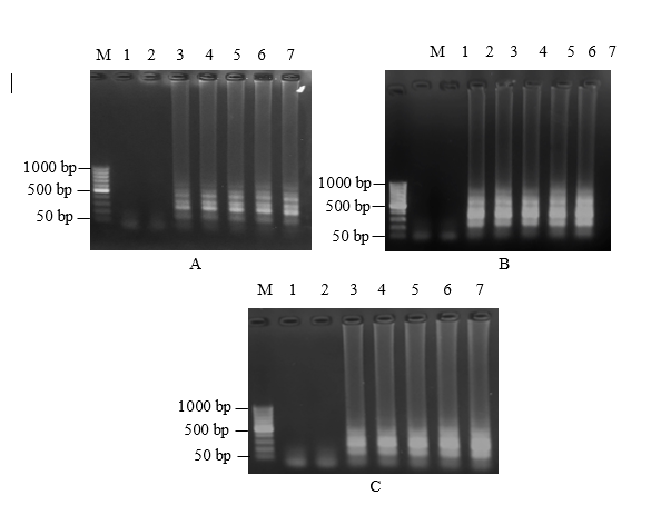
Kết quả bảng 3 cho thấy phương pháp LAMP có khả năng phát hiện nồng độ vi khuẩn đến 102 CFU/ml. Các mẫu có nồng độ vi khuẩn thấp 101 CFU/mL cho kết quả âm tính. Như vậy phản ứng LAMP có độ nhạy 100% đối với mẫu N. meningitidis nhóm huyết thanh A, B, C nồng độ từ 102 CFU/mL.
Bảng 3. Giới hạn phát hiện N. meningitidis của phương pháp LAMP
Nồng độ pha loãng (CFU/ml) | 106 (1) | 105 (2) | 104 (3) | 103 (4) | 102 (5) | 101 (6) | |
Kết quả phản ứng LAMP | Lần 1 | + | + | + | + | + | - |
Lần 2 | + | + | + | + | + | - | |
Lần 3 | + | + | + | + | + | - | |
Kết quả kiểm tra sản phẩm LAMP bằng điện di được thể hiện trên hình 1.

Hình 1. Kết quả kiểm tra sản phẩm LAMP bằng điện di trên gel agarose 2%
A. Nhóm huyết thanh A; B. Nhóm huyết thanh B; C. Nhóm huyết thanh C
M- Marker (100 bp), đường chạy 1-7 theo thứ tự: chứng âm, 101, 102, 103, 104, 105, 106 CFU/mL N. meningitidis.
3.2. Đánh giá độ đặc hiệu
Để đánh giá độ đặc hiệu, 15 mẫu ADN tách chiết từ 5 chủng vi khuẩn Haemophilus influenzae type b, Streptococcus pneumoniae, N. lactamica, S. aureus, M. tuberculosis nồng độ 104 CFU/mL. N. lactamica chủng vi khuẩn có quan hệ di truyền gần gũi với N. meningitidis. Vi khuẩn H. influenzae, S. pneumoniae, S. aureus, M. tuberculosis là tác nhân phổ biến gây bệnh viêm màng não tương tự NMC. Kết quả cho hình 2 thấy mẫu ADN từ 5 chủng vi khuẩn trên đều âm tính với phản ứng LAMP, độ đặc hiệu đạt 100%. LAMP là một kỹ thuật khuếch đại axit nucleic đơn giản, nhanh chóng với giá thành thấp. Kỹ thuật này cho phép khuếch đại ADN trong thời gian ngắn. Mặt khác, phương pháp này có tính đặc hiệu cao do sử dụng 3 cặp mồi nhận biết 6 vùng đặc trưng trên gen mục tiêu.

Hình 2. Kiểm tra độ đặc hiệu phản ứng LAMP bằng điện di trên gel agarose 2%
Đường chạy 1-6 theo thứ tự: chứng dương, H. influenzae, S. pneumoniae, N. lactamica, S. aureus, M. tuberculosis.
3.3. Đánh giá mức độ tương đồng phương pháp LAMP và phương pháp realtime PCR phát hiện N. meningitidis
Bảng 4. Kết quả đánh giá khả năng phát hiện N. meningitidis bằng phương pháp LAMP và phương pháp realtime PCR

Kết quả đánh giá mức độ tương đồng phương pháp LAMP và phương pháp realtime PCR phát hiện N. meningitidis trên 155 mẫu ở bảng 4 cho thấy cả hai phương pháp đều cho kết quả dương tính với 25/25 chủng N. meningitidis phân lập. LAMP phát hiện N. meningitidis trong 4/48 mẫu dịch não tủy, trong khi đó phương pháp realtime PCR phát hiện được 5/48 mẫu. Cả hai phương pháp đều cho kết quả âm tính với 82 mẫu máu. Độ nhạy, độ đặc hiệu của phương pháp LAMP so với realtime PCR lần lượt là 96,7% và 100%.
Hệ số Kappa được sử dụng để đánh giá mức độ tương đồng giữa 2 phương pháp khi chẩn đoán cùng tác nhân gây bệnh, sau khi đã loại bỏ vai trò của yếu tố may rủi. Kết quả xác định hệ số kappa giữa phương pháp realtime PCR và LAMP được thể hiện trong (bảng 5). Hệ số kappa κ = 0,97 cho thấy kết quả phát hiện N. meningitidis của phương pháp LAMP gần như tương đồng hoàn toàn với phương pháp realtime PCR.
Bảng 5. Xác định hệ số tương quan Cohen’s kappa

4. BÀN LUẬN
Trong nước, thời gian qua có nhiều nghiên cứu về ứng dụng kỹ thuật PCR để phát hiện NMC. Tác giả Phan Lê Thanh Hương đã ứng dụng kỹ thuật PCR đa mồi phát hiện các vi khuẩn H. influenzae, S. pneumoniae và N. meningitidis trực tiếp từ dịch não tủy, tỷ lệ phát hiện được vi khuẩn bởi PCR đa mồi so với nuôi cấy phân lập cao hơn từ 1,5 với Hib đến 3,1 lần đối với S. pneumoniae và N. meningitidis. Độ nhạy của PCR đa mồi với Hib là 90,9%; với S. pneumoniae 100% và N. meningitidis là 100%. Độ đặc hiệu của PCR đa mồi với Hib, S. pneumoniae và N. meningitidis đạt 100% [7]. Đoàn Trọng Tuyên và cộng sự đã nghiên cứu quy trình tạo bộ kit PCR đa mồi phát hiện H. influenzae, S. pneumoniae và N. meningitidis với 04 cặp mồi trên giải trình tự gen đích của chủng lưu hành tại Việt Nam (ctrA và porA cho N. meningitidis, bexA cho Hib, lytA cho S. pneumoniae). Ngưỡng phát hiện đối với N. meningitidis và Hib là 105 CFU/ml; S. pneumoniae là 106 CFU/mL. Độ nhạy, độ đặc hiệu phát hiện N. meningitidis trên ctrA là 100% [8].
LAMP là phương pháp dựa vào khuếch đại một đoạn ADN đặc trưng dưới điều kiện đẳng nhiệt, sử dụng hai cặp mồi đặc hiệu. Ưu điểm của phương pháp LAMP là đơn giản và cho kết quả tương đối nhanh, không đòi hỏi các trang thiết bị hiện đại. Năm 2011, McKenna và cộng sự đã phát triển phương pháp LAMP phát hiện N. meningitidis dựa trên gen đích ctrA, độ nhạy, độ đặc hiệu lần lượt là 100% và 98,9%, khi thử nghiệm trên 394 mẫu bệnh phẩm thời gian thực hiện phản ứng 48 phút [9]. Nghiên cứu của Lee và cộng sự phát triển kỹ thuật LAMP dựa trên gen đích ctrA có độ nhạy cao hơn 100 - 1000 lần so với phương pháp PCR truyền thống, sử dụng kỹ thuật LAMP xét nghiệm ngẫu nhiên 1574 mẫu dịch não tủy trẻ em thu thập tại Việt Nam, Trung Quốc và Hàn Quốc cho thấy độ nhạy của LAMP cao hơn so với PCR [10]. Nghiên cứu phân tích, tổng hợp ứng dụng kỹ thuật LAMP chẩn đoán ca bệnh xâm lấn do NMC với 2243 xét nghiệm trên 1989 bệnh nhân đối với mẫu dịch não tủy, mẫu máu và mẫu phết tỵ hầu cho thấy kỹ thuật này có độ nhạy, độ đặc hiệu cao, dao động lần lượt từ 84% đến 100% và 94% đến 100% [11].
Ở Việt Nam, bệnh do NMC vẫn đang là vấn đề nghiêm trọng đối với sức khỏe, đặc biệt là nhóm trẻ em và nhóm tuổi vị thành niên, bệnh khó phát hiện giai đoạn sớm nếu chỉ dựa vào lâm sàng nên việc phát triển các kỹ thuật giúp chẩn đoán sớm hết sức cần thiết. Trong nghiên cứu này chúng tôi đã phát triển thành công bộ kit LAMP phát hiệnN. meningitidis dựa trên gen đích ctrA có độ nhạy 100%, độ đặc hiệu 100% và giới hạn phát hiện 100 CFU/ml trên chủng chuẩn. Bước đầu thử nghiệm trên các mẫu lâm sàng cho thấy bộ kit LAMP gần tương đồng hoàn toàn với phương pháp realtime PCR. Với ưu điểm cho độ nhạy, độ đặc hiệu cao; thao tác đơn giản, không đòi hỏi các trang thiết bị hiện đại và cho kết quả nhanh, LAMP có thể ứng dụng trong lâm sàng để phát hiện N. meningitidis. Kết quả thu được mở ra triển vọng phát triển bộ kit LAMP dùng trong chẩn đoán, sàng lọc các trường hợp nghi ngờ nghiễm NMC, đặc biệt là ở các tuyến y tế cơ sở và quân y đơn vị. Nghiên cứu còn hạn chế về số lượng cũng như loại mẫu bệnh phẩm sử dụng trong nghiên cứu nên các thử nghiệm cần được tiếp tục thực hiện ở quy mô lớn hơn để đánh giá đầy đủ khả năng phát hiện N. meningitidis của bộ kit.
5. KẾT LUẬN
Kỹ thuật LAMP phát hiện N. meningitidis dựa trên trình tự gen ctrA có độ nhạy 100%, giới hạn phát hiện 100 CFU/ml trên panel chủng chuẩn N. meningitidis nhóm huyết thanh A, B, C. LAMP không phản ứng chéo với ADN các chủng vi khuẩn H. influenzae, S. pneumoniae, N. lactamica, S. aureus, M. tuberculosis. Kết quả thử nghiệm phát hiện N. meningitidis trên 155 mẫu dịch não tủy, mẫu máu và chủng N. meningitidis phân lập cho thấy bộ kit LAMP có độ nhạy, độ đặc hiệu 96,7% và 100% so với phương pháp realtime PCR, hệ số kappa κ = 0,97.
Lời cảm ơn: Công trình được hoàn thành nhờ sự tài trợ kinh phí của Bộ Khoa học và Công nghệ thông qua đề tài “Nghiên cứu khai thác và phát triển nguồn gen vi khuẩn Neisseria meningitidis gây bệnh nhiễm não mô cầu”. Mã số NVQG-2019/ĐT.02.
Tuyên bố về đóng góp của các tác giả: Võ Viết Cường: Thực hiện toàn bộ quá trình viết bản thảo, chỉnh sửa bản thảo. Hoàng Đăng Hiếu: Tham gia chỉnh sửa bản thảo. Bùi Thị Lan Anh, Trịnh Văn Toàn, Bùi Thị Thanh Nga, Nguyễn Thu Trang, Trương Quốc Phong: Thực hiện thí nghiệm và xử lý số liệu.
Tuyên bố về xung đợt lợi ích: Các tác giả tuyên bố không có xung đột lợi ích liên quan đến nghiên cứu này.
Tài liệu tham khảo
2. R. S. Batista, et al., Meningococcal disease, a clinical and epidemiological review, Asian Pac J Trop Med, 10(11), pp. 1019-1029, 2017.
3. N. G. Rouphael, D. S. Stephens, Neisseria meningitidis: biology, microbiology, and epidemiology, Methods Mol Biol, 799, pp. 1-20, 2012. DOI: 10.1007/978-1-61779-346
4. Nguyễn Đăng Mạnh, et al., Đặc điểm lâm sàng, cận lâm sàng bệnh do cầu khuẩn màng não xâm nhập tại các đơn vị Quân đội từ 2014 đến 2021, Tạp chí Y dược lâm sàng 108, 16(7), tr. 13-19, 2021.
5. World Health Organization and Centers for Disease Control and Prevention (U.S.), Laboratory methods for the diagnosis of meningitis caused by neisseria meningitidis, streptococcus pneumoniae, and haemophilus influenzae, 2nd ed, WHO manual 2011, 311 p.
6. M.L. McHugh, Interrater reliability: the kappa statistic, Biochem Med (Zagreb), 22(3), pp. 276-82, 2012.
7. Phan Lê Thanh Hương, Nguyễn Phong Lan, Đỗ Bích Ngọc và Đặng Đức Anh, Hiệu quả phát hiện trực tiếp vi khuẩn Haemophilus influenzae typ B, Streptococcus pneumoniae và Neisseria meningitidis ở dịch não tùy bằng Realtime PCR và PCR đa mồi, Tạp chí Y học dự phòng, Tập XXIII, số 11(147), 2013.
8. Đoàn Trọng Tuyên, Nghiên cứu xây dựng qui trình PCR đa mồi và chế tạo kít qui mô phòng thí nghiệm chẩn đoán Neisseria meningitidis, Haemophilus influenzae týp b, Streptococcus pneumoniae, Báo cáo tổng hợp đề tài cấp Bộ Quốc phòng, 2018.
9. J. P. McKenna, et al., Development and clinical validation of a loop-mediated isothermal amplification method for the rapid detection of Neisseria meningitidis, Diagn Microbiol Infect Dis, 69(2), pp. 137-44, 2011.
10. Lee D., et al. Clinical evaluation of a loop-mediated isothermal amplification (LAMP) assay for rapid detection of Neisseria meningitidis in cerebrospinal fluid, PLoS One, 10(4):e0122922, 2015.
11. T. Waterfield, D. Fairley, B. Blackwood, J. McKenna and M. D. Shields, A systematic review of the diagnostic accuracy of Loop-mediated-isothermal AMPlification (LAMP) in the diagnosis of invasive meningococcal disease in children, BMC Pediatr, 19(1):49, 2019.