MỘT SỐ ĐẶC ĐIỂM PHÂN BỐ, HÌNH THÁI CỦA HẢI SÂM ĐEN (Holothuria atra) Ở VỊNH NHA TRANG VÀ THỬ NGHIỆM LƯU GIỮ TẠI ĐẦM BÁY
Chi nhánh Ven Biển, Trung tâm Nhiệt đới Việt - Nga
Số 30 Nguyễn Thiện Thuật, Nha Trang, Khánh Hòa
Số điện thoại: 0983210215; Email: bangndvn@gmail.com
Nội dung chính của bài viết
Tóm tắt (Abstract)
SOME DISTRIBUTED AND MORPHOLOGICAL CHARACTERISTICS OF THE BLACK SEA CUCUMBER (Holothuria atra Jaeger, 1833) IN NHA TRANG BAY AND THEIR CONSERVATION AT DAM BAY COVE
Some distribution and morphological characteristics of black sea cucumber (Holothuria atra) in Nha Trang Bay were surveyed and a trial to preserve them in DAM BAY cove was then carried out. Survey results show that black sea cucumbers are mainly distributed on sandy bottoms, seagrass sandy bottoms, and sandy bottoms with broken coral fragments, with a depth of distribution from 1 to 10 m, salinity 33.8±0.3, temperature 28.3±0.3 degrees Celsius, pH 7.8±0.2, oxygen 5.9±0.3 mg/l. The average size encountered is 17.25±1.78 cm in length and 122.3±25.1 g in weight. On the sandy bottom, sandy bottom mixed with seagrass, there are many small-sized individuals distributed; on the crushed coral sandy bottom, there are many larger-sized individuals. The black sea cucumber has a short intestine, the intestine length is twice the length of the body, and the branched gonads are pink to milky white. Growth in the weight of black sea cucumbers in conservation (from September 2023 to September 2024) reached 4,79±0,31g per month with survival rate of 81.1%. In June 2024, black sea cucumber had gonads in stage II at a rate of 20%. Thus, the black sea cucumber (H. Atra) stored in Dam Bay cove has good growth and development, especially the black sea cucumber has reached sexual maturity and can reproduce sexually to supplement sources for the sea area.
Từ khóa (Keywords)
Holothuria atra, Nha Trang Bay, characteristics of distribution, morphology, conservation, growth, development, survival rate, reache sexual maturity, vịnh Nha Trang, đặc điểm phân bố, hình thái, lưu giữ, tăng trưởng, phát triển, tỷ lệ sống, tuyến sinh dục
Chi tiết bài viết
1. MỞ ĐẦU
Lớp hải sâm (Holothuridea) thuộc ngành động vật da gai sống ở biển vừa có giá trị giá trị kinh tế, giá trị dược liệu vừa có giá trị sinh học cao. Thịt hải sâm được dùng làm nguồn thực phẩm bổ dưỡng cho sức khỏe và chiết xuất hợp chất có hoạt tính sinh học hỗ trợ điều trị một số bệnh nan y. Hải sâm đen Holothuria atra thuộc lớp Holothuridea có vùng phân bố rộng từ khu vực biển Ấn Độ Dương đến Thái Bình Dương. Chúng sống trên vùng đáy cát, rạn san hô, thảm cỏ biển ở độ sâu 0 - 20 m. Do Hải sâm đen được ưa chuộng dùng chế biến thực phẩm và chữa bệnh nên chúng đang bị khai thác quá mức. Những nơi Hải sâm đen bị khai thác nhiều như: Micronesia, Polynesia, Melanesia, Australia, New Zealand, Indonesia, Ấn Độ, Trung Quốc và Việt Nam... Đứng trước tình trạng đó, một số nơi đã cấm khai thác Hải sâm đen ở các khu vực quan trọng như rạn san hô Great Barrier hay eo biển Torres vào năm 1999 và 2003… nhằm phục hồi nguồn lợi. Chính quyền Quần đảo Lakshadweep (Ấn Độ) cũng đã công bố thành lập khu vực bảo tồn hải sâm đầu tiên trên thế giới với diện tích 239 km2 nhằm hạn chế việc nhập cảnh và cấm thu thập hoặc buôn bán hải sâm cũng như với san hô hay bất kỳ sinh vật biển nào khác trong Bảng I theo Đạo luật Bảo vệ Động vật hoang dã (WPA, 1972) [1, 2].
Ở Việt Nam, các nghiên cứu về hải sâm nói chung đã đạt được những bước tiến quan trọng như nghiên cứu về thành phần loài, sản lượng khai thác, tiến hành sinh sản nhân tạo và nuôi thương phẩm loài Hải sâm cát (Holothuria scabra), khai thác và phát triển nguồn gen Hải sâm vú (Holothuria nobilis). Chi nhánh Ven Biển/Trung tâm Nhiệt đới Việt - Nga trong những năm qua cũng đã có những nghiên cứu bảo tồn một số loài sinh vật biển quý như: cá ngựa, bào ngư, sá sùng, trai tai tượng... Một số đối tượng như: bào ngư vành tai (Haliotis asinina), cá ngựa (Hippocampus kuda) được đánh giá có kết quả tốt và chuyển tiếp sang giai đoạn phát triển, khai thác nguồn gen ở khu vực Đầm Báy, vịnh Nha Trang.
Đầm Báy là một vùng biển hở có 3 mặt giáp đảo Hòn Tre và cửa đầm thông trực tiếp ra biển, phần nước nông ven đảo (có độ sâu từ 0 - 7 m) chiếm khoảng 48 ha, phần đáy có rạn san hô chiếm khoảng 5 ha, còn lại chủ yếu là nền đáy cát. Các điều kiện về thổ nhưỡng, thủy lý, thủy hóa phù hợp theo tiêu chuẩn của vùng nước nuôi trồng thủy sản ven bờ nên nơi đây có thể tiến hành bảo tồn, lưu giữ và nuôi trồng một số loài sinh vật biển có giá trị [3]. Chi nhánh Ven Biển hiện đang quản lý 10 ha mặt đất và trên 5 ha mặt nước ven bờ. Đáy biển khu vực này vừa có rạn san hô vừa có nền đáy cát. Từ năm 2022 - 2024, Chi nhánh Ven Biển tiếp tục lưu giữ nguồn gen Hải sâm đen, cầu gai sọ dừa và trai tai tượng ở đây. Qua đánh giá cho thấy sinh trưởng và phát triển của các nguồn gen khá tốt. Bài báo này trình bày một số đặc điểm phân bố, hình thái và kết quả thử nghiệm lưu giữ Hải sâm đen (H.atra) ở nơi đây.
2. ĐỐI TƯỢNG VÀ PHƯƠNG PHÁP NGHIÊN CỨU
2.1. Đối tượng, thời gian và địa điểm nghiên cứu
- Đối tượng nghiên cứu: Loài Hải sâm đen (Holothuria atra).
- Thời gian nghiên cứu: Khảo sát thực địa năm 2022. Thử nghiệm lưu giữ từ 9/2023 - 9/2024.
- Địa điểm: Khảo sát sinh cảnh phân bố, hình thái của Hải sâm đen ở một số điểm thuộc Hòn Mun, Bích Đầm và Đầm Báy (thuộc vịnh Nha Trang). Lưu giữ Hải sâm đen tại khu vực biển Đầm Báy.
2.2. Phương pháp nghiên cứu
2.2.1. Một số đặc điểm phân bố, hình thái của Hải sâm đen ở vịnh Nha Trang
- Sinh cảnh phân bố xác định theo phương pháp đánh giá của Hodgson và Waddell [4] trên các vị trí khác nhau tại một số điểm thuộc Đầm Báy, Hòn Mun và Bích Đầm (Hình 1). Sử dụng phương pháp lặn quan sát theo mặt cắt với thiết bị lặn SCUBA, phạm vi khảo sát từ vùng triều đến độ sâu 20 m. Tại mỗi vị trí có hải sâm, các thông tin như nền đáy, độ sâu và một số thông số môi trường nước được tiến hành quan sát và ghi nhận.

Hình 1. Vị trí các điểm khảo sát Hải sâm đen ở vịnh Nha Trang
- Đặc điểm hình thái được thu thập, mô tả trực quan tại hiện trường theo hướng dẫn [5] và của FAO [6]. Một số chỉ tiêu về kích thước, khối lượng tươi, khối lượng bỏ nội quan... được cân, đo trong phòng thí nghiệm. Chiều dài cơ thể đo bằng giấy kẻ ô ly. Phương pháp đo: đặt hải sâm vào thau chứa nước biển để cho cơ thể trở về trạng thái bình thường và đo chiều dài ngay trong thau nước. Khối lượng được cân bằng cân phân tích ngay sau khi đo chiều dài (không để hải sâm bị xịt nước hay phùi ruột).
2.2.2. Lưu giữ Hải sâm đen (H. atra) trên biển Đầm Báy
- 157 cá thể Hải sâm đen khối lượng trung bình 178,31±10,46 g được thu thập và lưu giữ ở Đầm Báy. Hải sâm được chăm sóc, theo dõi và kiểm tra hàng tháng bằng phương pháp bơi và lặn có khí tài (SCUBA).

Hình 2. Khu vực lưu giữ hải sâm ở Đầm Báy
- Đánh giá tăng trưởng, tỷ lệ sống và sự thành thục của Hải sâm đen: Định kỳ hàng tháng thu ngẫu nhiên 30 cá thể để đánh giá tăng trưởng bằng phương pháp cân, tỷ lệ sống xác định bằng phương pháp kiểm đếm trực tiếp số lượng hải sâm trong khu vực nuôi. Đánh giá khả năng sinh sản của Hải sâm đen bằng phương pháp giải phẫu thu thập tuyến sinh dục, quan sát tế bào sinh dục dưới kính hiển vi có độ phóng đại 40 lần và phân tích theo hướng dẫn [7, 8]. Phân biệt các giai đoạn của tuyến sinh dục Hải sâm đen qua 4 giai đoạn: Giai đoạn 0 (tuyến sau khi đẻ hoặc chưa xuất hiện trứng hay tinh trùng); giai đoạn I (tuyến sinh dục bắt đầu hình thành trứng hoặc tinh trùng); giai đoạn II (tuyến sinh dục đang phát triển, tăng về số lượng và kích cỡ trứng hay tinh trùng); giai đoạn III (tuyến sinh dục bắt đầu trưởng thành, trứng hay tinh trùng chứa đầy túi sinh dục); giai đoạn IV (hoàn toàn trưởng thành, trứng hay tinh trùng chứa đầy tuyến sinh dục và đạt kích cỡ lớn nhất, đồng đều).
- Thu thập và xử lý số liệu: Số liệu thu thập được xử lý theo phương pháp thống kê sinh học trên phần mềm Microsoft Excel. Yếu tố môi trường: Độ muối (S‰) được đo bằng kit kiểm tra độ nhiễm mặn Total Meter RSH, nhiệt độ và pH đo bằng thiết bị pH/Temp Adwa AD11. Khối lượng hải sâm xác định bằng cân phân tích, độ chính xác đến 0,01g, chiều dài đo bằng giấy đo ô ly sử dụng trong sinh học có độ chính xác 1 mm.
- Các công thức tính:
+ Tốc độ sinh trưởng trung bình ngày DRG (g/ngày) [9]: ![]()
+ Tỉ lệ sống (Ts) [9]: ![]()
Trong đó: W1, W2: là khối lượng hải sâm tại thời điểm t1 và t2;
t1, t2: là thời điểm cân, đo;
A: là số lượng hải sâm thu được tại thời điểm kiểm tra;
B: là số lượng hải sâm ban đầu.
3. KẾT QUẢ NGHIÊN CỨU VÀ THẢO LUẬN
3.1. Đặc điểm phân bố, hình thái của Hải sâm đen ở vịnh Nha Trang
* Đặc điểm phân bố
Qua khảo sát cho thấy: nền đáy nơi Hải sâm đen phân bố là nền đáy cát, đáy cát xen lẫn cỏ biển, đáy cát có mảnh san hô vụn. Một số ít cư trú trên đáy cát tiếp giáp với nơi có những lố đá. Một số ít hơn phân bố trên nền đáy đá có rạn san hô. Mật độ phân bố trung bình khoảng 3,2 con/10.000 m2. Trên vùng đáy cát xen lẫn cỏ biển có nhiều cá thể nhỏ và một số cá thể lớn phân bố, kích thước dao động từ 8,1-27,2 cm trung bình là 16,5±10,4 cm, mật độ 7-9 con/50 m2. Trên vùng đáy cát pha trộn san hô vụn và trên nền đáy đá có nhiều cá thể có kích thước lớn hơn, trung bình là 19,2±11,5 cm, mật độ 1-2 con/50 m2. Mật độ này không đều trên toàn bộ diện tích khảo sát mà chỉ rải rác ở một vài điểm của Hòn Mun, Bích Đầm và Đầm Báy.

Hình 3. Nền đáy nơi Hải sâm đen phân bố ở vịnh Nha Trang
Kết quả về kích thước của hải sâm tương đối phù hợp với nghiên cứu của Avalos trên vùng biển Jepara của Indonesia. Khi quan sát, nhóm nghiên cứu đã bắt gặp trên vùng cỏ biển có nhiều cá thể nhỏ, kích thước dao động từ 3-40,53 cm; trên vùng đáy cát và san hô chết có các cá thể kích thước lớn hơn, dao động từ 9,31-42,87 cm [10]. Mật độ Hải sâm đen ở vịnh Nha Trang là 3,2 con/10.000 m2 thấp hơn nhiều so với nghiên cứu của Hartati ở đảo Panjang thuộc Jepara, Indonesia [11]. Qua nghiên cứu, Hartati cho rằng Hải sâm đen phân bố ở 2 khu vực chính đó là vùng đáy có cỏ biển và vùng đáy có nhiều mảnh vụn san hô. Mật độ phân bố Hải sâm đen ở vùng cỏ biển từ 9-71 con/m2, kích thước trung bình 15,63 cm. Vùng đáy có nhiều mảnh vụn san hô phân bố khoảng gần 1 con/m2, kích thước trung bình là 20,19 cm.
Kết quả quan sát ở độ sâu từ 1-20 m cho thấy: Hải sâm đen phân bố nhiều ở độ sâu từ 1-10 m, nhưng tập trung ở độ sâu 3-7 m (vùng có xen lẫn cỏ biển), độ sâu 1-2 m và trên 7 m (vùng đáy cát xen lẫn san hô vụn và vùng có đáy đá) ít bắt gặp hơn.
Nghiên cứu cũng ghi nhận, môi trường phân bố Hải sâm đen ở vịnh Nha Trang có nhiệt độ trung bình 28,3±0,3oC (dao động từ 25,2-30,5oC), độ muối trung bình 33,8±0,3‰ (dao động từ 32,5-35‰), pH 7,8±0,2 (dao động 7,6-8,3) oxy hòa tan 5,9±0,3 mg/l (dao động 5,6-6,8 mg/l).
* Đặc điểm hình thái
Hải sâm đen có dạng trụ tròn, bề mặt cơ thể mịn và có mầu đen, miệng nằm ở mặt dưới được bao quanh bởi một vòng gồm 20 xúc tu màu đen, phân nhánh, phía trong miệng có lớp sừng mầu trắng, hậu môn ở đầu còn lại, vách thân hơi cứng, gai thịt ngắn và dày ở mặt bụng, thưa hơn ở mặt lưng. Kết quả khảo sát một số chỉ số cơ thể của Hải sâm đen thu được ở vịnh Nha Trang được thể hiện qua Bảng 1.
Bảng 1. Một số chỉ số cơ thể của Hải sâm đen thu được ở vịnh Nha Trang

Tuyến sinh dục cái giai đoạn đầu có mầu hồng, giai đoạn phát triển có mầu hồng nhạt hoặc trắng sữa, các ống chứa trứng phân nhánh, đường kính ống lớn, khi chín sinh dục tuyến sinh dục có mầu đỏ hoặc đỏ nhạt. Tuyến sinh dục đực gồm nhiều ống nhỏ, phân nhánh có mầu trắng đục ở hầu hết các giai đoạn, khi chín sinh dục các ống căng đầy và có mầu trắng sữa (Hình 4). Hải sâm đen vừa sinh sản hữu tính vừa sinh sản vô tính bằng phân cắt cơ thể. Hải sâm đen là loài ăn tạp, chúng tiêu thụ các mảnh vụn hữu cơ và tảo đáy bằng việc sử dụng xúc tu đưa toàn bộ vào trong ruột sau đó tiêu hóa các chất dinh dưỡng và thải cát ra bên ngoài [12].

3.2. Kết quả lưu giữ Hải sâm đen ở Đầm Báy
3.2.1. Tốc độ tăng trưởng
Tăng trưởng về khối lượng của Hải sâm đen trong thời gian từ tháng 9/2023 -9/2024 trung bình đạt 57,44 g/năm, khối lượng trung bình từ 178,31±10,46 g/cá thể tăng lên 235,75±11,25 g/cá thể (Hình 5).

Hình 5. Tăng trưởng khối lượng của Hải sâm đen lưu giữ tại Đầm Báy
Qua đồ thị cho thấy, tăng trưởng về khối lượng của Hải sâm đen là tăng trưởng dương, tốc độ tăng trưởng trung bình đạt 4,79±0,31 g/tháng. Trong các tháng mùa mưa tốc độ tăng trưởng có xu hướng cao hơn một chút so với mùa khô, có thể do nguồn thức ăn dồi dào hơn.
3.2.2. Tỷ lệ sống
Tỷ lệ sống của Hải sâm đen trong quá trình lưu giữ ở Đầm Báy được thể hiện qua biểu đồ (Hình 6).

Hình 6. Tỷ lệ sống của Hải sâm đen lưu giữ tại Đầm Báy (9/2023 - 9/2024)
Sau 1 năm lưu giữ tỷ lệ sống đạt 81,1%, số lượng hải sâm hao hụt chủ yếu từ tháng 11/2023 - 3/2024 do khu vực Đầm Báy bị ảnh hưởng bởi sóng gió mùa mưa bão và gió mùa đông bắc.
3.2.3. Đánh giá khả năng sinh sản của Hải sâm đen
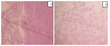
Qua giải phẫu kiểm tra lần 1 (tại thời điểm tháng 3/2024) tất cả Hải sâm đen đều chưa có tuyến sinh dục, kiểm tra lần 2 (tại thời điểm tháng 6/2024) phát hiện 04 cá thể có tuyến sinh dục đang phát triển ở giai đoạn II, với tỷ lệ được thể hiện qua Bảng 2 và Hình 7.
Bảng 2. Tỷ lệ thành thục sinh dục của Hải sâm đen trong quá trình lưu giữ

Theo [7, 8], tuyến sinh dục của hải sâm được phát triển qua 5 giai đoạn. Qua phân tích mô học cho thấy: tại thời điểm tháng 6/2024 tuyến sinh dục của Hải sâm đen đang phát triển ở giai đoạn II với tỷ lệ 20%, các cá thể hải sâm thành thục trung bình đều nhỏ hơn 250 g. Theo [13], Hải sâm đen có 2 dạng sinh sản đó là sinh sản vô tính bằng phân cắt ngang cơ thể và sinh sản hữu tính. Quá trình sinh sản vô tính hay hữu tính phụ thuộc vào điều kiện môi trường và kích thước cơ thể. Các cá thể có kích thước < 250 g vừa sinh sản vô tính vừa sinh sản hữu tính, những cá thể > 300 g dường như chỉ sinh sản hữu tính. Khi nghiên cứu sinh sản của Hải sâm đen ở vùng biển Jepara (Indonesia), Hartati cũng cho rằng Hải sâm đen chủ yếu sinh sản vô tính vào mùa khô và sinh sản hữu tính vào mùa mưa do các cá thể hải sâm có nhiều thức ăn, tích lũy về chất và phát triển nhanh [11].

Hình 7. Ảnh mô học tuyến sinh dục giai đoạn II của Hải sâm đen
a. tuyến sinh dục đực; b. tuyến sinh dục cái
Như vậy, Hải sâm đen lưu giữ ở Đầm Báy có sự tăng trưởng và tỷ lệ sống cao, qua kiểm tra thời điểm tháng 6/2024 cho thấy 20% cá thể hải sâm có tuyến sinh dục đang phát triển ở giai đoạn II.
4. KẾT LUẬN
Hải sâm đen ở vịnh Nha trang phân bố chủ yếu trên nền đáy cát, đáy cát xen lẫn cỏ biển và đáy cát có mảnh vụn san hô, một số ít phân bố trên nền đáy đá và rạn san hô. Độ sâu phân bố của Hải sâm đen từ 1-10 m, tập trung nhiều ở độ sâu 3-7 m. Nhiệt độ nơi phân bố trung bình là 28,3±0,3oC, độ mặn 33,8±0,3‰, pH 7,8±0,2 và oxy hòa tan 5,9±0,3 mg/L. Vùng đáy cát xen lẫn cỏ biển có nhiều Hải sâm đen nhỏ và một số cá thể lớn, kích thước dao động từ 8,1-27,2 cm trung bình là 16,52±10,41 cm, mật độ 7-9 con/50 m2. Vùng đáy cát có san hô vụn và vùng đáy đá có nhiều cá thể kích thước lớn hơn, trung bình là 19,2±11,5 cm, mật độ 1-2 con/50 m2. Mật độ trung bình trên toàn vùng Đầm Báy, Hòn Mun, Bích Đầm là 3,2 con/10.000 m2.
Hải sâm đen có dạng trụ tròn, bề mặt cơ thể mịn màng và có mầu đen, miệng nằm ở mặt dưới được bao quanh bởi một vòng gồm 20 xúc tu màu đen, phân nhánh, phía trong miệng có lớp sừng mầu trắng, hậu môn ở đầu còn lại, vách thân hơi cứng, gai thịt ngắn và dày ở mặt bụng, thưa hơn ở mặt lưng. Tuyến sinh dục cái có màu hồng đến hồng nhạt hoặc trắng sữa, các ống chứa trứng phân nhánh, khi chín sinh dục tuyến sinh dục có màu đỏ hoặc đỏ nhạt. Tuyến sinh dục đực gồm nhiều ống nhỏ, phân nhánh có màu trắng đục ở hầu hết các giai đoạn, khi chín sinh dục các ống căng đầy và có màu trắng sữa.
Sau 1 năm lưu giữ (9/2023 - 9/2024) ở Đầm Báy (thuộc vịnh Nha Trang), tăng trưởng trung bình về khối lượng của Hải sâm đen đạt 4,79±0,31 g/tháng, tỷ lệ sống đạt 81,1%. Trong thời gian lưu giữ, Hải sâm đen đã có tuyến sinh dục đang phát triển ở giai đoạn II được ghi nhận vào tháng 6/2024 với tỷ lệ 20%.
Tài liệu tham khảo
2. Gonzalez M., Valente S., Henriques F., Godino J., & Serrao E., Setting preliminary biometric baselines for new target sea cucumbers species of the NE Atlantic and Mediterranean fisheries, Fisheries Research, 2016, 179:57-66. DOI: 10.1016/j.fishres.2016.02.008
3. Trần Văn Bằng, Thử nghiệm phục hồi san hô trên giá thể ở khu vực biển Đầm Báy, vịnh Nha Trang, Khánh Hòa, Báo cáo tổng kết đề tài, Chi nhánh Ven Biển/ Trung tâm Nhiệt đới Việt - Nga, Khánh Hòa, 2016.
4. Hodgson, G. and Waddell S., International reef check coremethod, 1997.
5. Clark, A.M. & Rowe, F.W.E., Monograph of shallow-water Indo-West Pacific echinoderms: I-VII, 1971, 1-238, p.1-31.
6. FAO, Species catalogue for fishery Purposes No.6, Commercially important sea cucumber of the world, Rome, 2012, 150 pp.
7. Conand. C., Reproductive biology of the holothurians from the major communities of the New Caledonian Lagoon, Mar. & Biology, 1993, 116:439-450. DOI: 10.1007/BF00350061
8. Keshavarz M., Reproductive biology of the sea cucumbers for successful breeding: a review, Journal of Animal Production Advances, 2012, 2:208-213.
9. Retnohartati, Ambariyanto, Muhammad zainuri and Widianingsih, Sea ranching of holothuria atra: stocking density and time,BIOTROPIA, 2021, 28(2):128-140. DOI: 10.11598/btb.0.0.0.1180
10. Avalos-Castillo C.G., Ortiz J.R., Pacay-Barahona A.J. and Polanco-Vásquez F.M., Evaluacions del estado poblacional del pepino de mar (Clase Holoturoidea) en el Caribe de Guatemala, Informe Final, Universidad de San Carlos de Guatemala Direccions General de Investigacions Programa Universitario de Investigacions en Recursos Naturales y Ambiente, 2017, 55 pp.
11. Hartati R., Zainuri M., Ambariyanto A., Redjeki S., Riniatsih I., Azizah R. and Endrawati H., Aseksual reproduction of black sea cucumber from jepara waters,ILMU KELAUTAN: Indonesian Journal of Marine Sciences, 2019, 24(3):121-126. DOI: 10.14710/ ik.ijms.24.3.121-126.
12. Kelshaw B. and Ewward E.H., Ecologial observation on the sea cucumber Holothuria atra and H. leucospilota at Rongelap Atoll Marshall islands, Pacific Science, 1963, 17(3):305-314.
13. Chao S.M., Chen C.P. & Alexander P.S., Reproduction and growth of Holothuria atra (Echinodermata: Holothuroidea) at two contrasting sites in southern Taiwan, Mar. Biol., 1994,119:565-570. DOI: 10.1007/bf00354319